Adolescent/Teen Dental Care
Dental Care for Teens
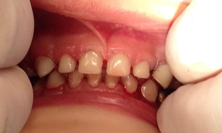
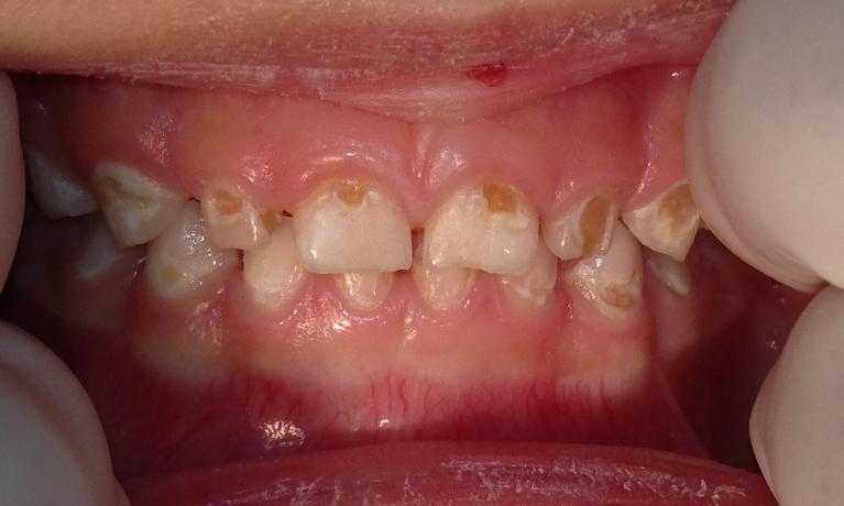
The teenage years can be especially hard on teeth. Teenagers are often so preoccupied with school, jobs, sports, and social activities that they neglect their oral health. The combination of hormonal changes, poor dietary choices, and neglecting to brush and floss regularly is why many teenagers develop cavities.
Tips to help your child get through the teen years cavity-free:
- A nice smile is important to your teen’s self-image. You can encourage and support your teen in developing and continuing good brushing and flossing habits.
- Teenagers are self-conscious and care about how they look. The fact is, poor self-care can lead to embarrassment caused by bad breath, stained teeth, decays, fractures, and other dental problems.
- Setting a good example is crucial with this age group. Take good care of your own teeth so that your teenager can see that good oral health is one of your family's values. You might be surprised to find out how much weight your advice and guidance can carry with a teen!
- Avoid buying junk food. Encourage your teen to choose fruits and vegetables for snacking. Steer clear of sodas as well as sports and energy drinks. The sugar and acids found in these popular beverages increase the risk for tooth decay.
- Teach your kids about the risks associated with tobacco. Not only does smoking and chewing tobacco increase the risk for oral cancer, tobacco use can also lead to cavities, gum recession, and gum disease.
- Teach teens about the hazards associated with oral piercings. Mouth jewelry increases the risk for chipped or cracked teeth and even bacterial infections.
- Encourage the use of mouth guards since they can protect teeth from serious injury and may even reduce the risk of a concussion from a blow to the chin or jaw.
- Talk to your teen about eating disorders. Conditions such as anorexia and bulimia can lead to erosion of enamel, cavities, and inflammation of the gums, and can eventually cause tooth loss.

Getting proper dental care at home is important because after our milk teeth, you will only have one set of permanent teeth so you better take care of it as early as possible. And when it comes to your children, you should really start your children early.