Sporting Smiles
A Great Dentist

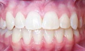
High Canine

Generally the main issue with high canines is the position of the other teeth in the mouth. If teeth are poorly spaced or crowded, this can cause an emerging canine to deviate from alignment and erupt in a different position. Genetics and family history can increase the likelihood of this occurring.

Always the best care

Always the best care, staff is friendly and understanding of the big feelings kids may have while visiting the dentist. Thank you for making each visit wonderful!

-Petria via Google Reviews

Ready to book an appointment?
If you have difficulty using our website, please email us or call us at (703) 743-5937
View the ADA Accessibility Statement