Sporting Smiles
A Great Dentist

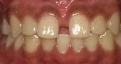
Diastema

A space between two adjacent teeth in the same dental arch is a diastema. They are primarily caused by imbalance in the relationship between the jaw and the size of teeth.

Always the best care

Always the best care, staff is friendly and understanding of the big feelings kids may have while visiting the dentist. Thank you for making each visit wonderful!

-Petria via Google Reviews

Ready to book an appointment?
If you have difficulty using our website, please email us or call us at (703) 743-5937
View the ADA Accessibility Statement