Sporting Smiles
A Great Dentist

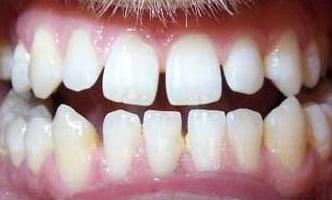
Open Bite

An open bite is a term used to describe when the upper and lower teeth are unable to make physical contact with each other when the jaws are closed. Open bites are often a result of habits such as thumb or extended pacifier sucking or tongue thrusting. 

Improve your smile today – call to schedule a consultation!
If you have difficulty using our website, please email us or call us at (703) 743-5937
View the ADA Accessibility Statement