Sporting Smiles
A Great Dentist

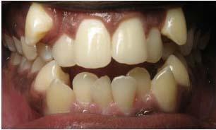
Severe Crowding

Severe crowding occurs when there is simply not enough room within the jaw for all of the teeth to fit normally. When left untreated, overly crowded teeth can get worse overtime and result in severely crooked teeth. Crowding can lead to plaque accumulation, tooth decay and an increased chance of gum disease.

Always the best care

Always the best care, staff is friendly and understanding of the big feelings kids may have while visiting the dentist. Thank you for making each visit wonderful!

-Petria via Google Reviews

Ready to book an appointment?
If you have difficulty using our website, please email us or call us at (703) 743-5937
View the ADA Accessibility Statement